لینک‌های قابلیت دسترسی

خبر فوری
سه شنبه ۱۱ آذر ۱۴۰۴ تهران ۱۴:۳۸

داروی شرکت «بایوژن» برای مقابله با آلزایمر، در آمریکا رسماً تأیید شد


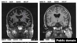
سمت چپ: مغز فرد دچار به آلزایمر، سمت راست: مغز فرد غیرمبتلا به آلزایمر
سمت چپ: مغز فرد دچار به آلزایمر، سمت راست: مغز فرد غیرمبتلا به آلزایمر

اداره کنترل کیفیت دارو در آمریکا روز دوشنبه ۱۷ خرداد با وجود بحث‌برانگیز بودن نتایج آزمایش‌های بالینی، داروی جدید شرکت داروسازی «بایوژن» برای درمان یکی از عوامل اساسی بروز بیماری آلزایمر را تأیید کرد.

به گزارش خبرگزاری رویترز، سازندگان این دارو به نام «ادوکانومب» می‌گویند قادر است رسوبات پروتئین چسبنده‌ای به نام «آمیلوید بتا» را در مراحل اولیه بروز آلزایمر از مغز بیماران جدا و پاک کند و در نتیجه از بروز عوارض شدید این بیماری جلوگیری کند.

این نخستین داروی تأیید شده در زمینه مبارزه با بیماری آلزایمر طی دو دهه اخیر است.

دکتر رونالد پترسون، یک متخصص بیماری آلزایمر گفت: «برای بیماران مبتلا به آلزایمر این خبر خوبی است چون اولین دارویی است که می‌تواند روی سرعت پیشرفت این بیماری تأثیر بگذارد. ولی باید توجه داشت که این دارو بیماری را درمان نمی‌کند. امید این است که بتواند سرعت پیشرفت بیماری را آهسته کند.»

او در مورد این خبر افزود: «این روز بزرگی است ولی نباید بیش از حد امیدواری ایجاد کرد.»

اداره کنترل کیفیت دارو در آمریکا گفت نتایج آزمایش‌های بالینی نشان می‌دهد که این دارو باعث کاهش پلاکت‌ها می‌شود و انتظار می‌رود که این تغییر زوال سلامتی مبتلایان به آلزایمر را کاهش دهد. این دارو قرار است با نام تجاری «ادوهلم» (Aduhelm) به بازار عرضه شود.

این نهاد در بیانیه خود خاطرنشان کرد: «هر چند داده‌های موجود در مورد فواید ادوهلم پیچیده است ولی به این نتیجه رسیده‌ایم که این دارو در کاستن از پلاکت‌های آمیلوید بتا در ناحیه مغز مؤثر است و به احتمال فراوان کاهش این پلاکت‌ها برای بیماران فواید مهمی خواهد داشت.»

اداره کنترل کیفیت داروی آمریکا افزود که شرکت داروسازی «بایوژن» برای تشخیص دقیق تأثیرات این دارو پس از تأیید تجویز آن باید تحقیقات بیشتری انجام دهد. «اگر تأثیر این دارو به شکلی که انتظار می‌رود نباشد در آن حالت می‌توانیم آن را از بازار جمع کنیم.»

مدافعان بیماران و شماری از پزشکان متخصص اعصاب که در جستجوی یافتن دارویی برای مهار این بیماری کشنده هستند از این داروی جدید استقبال کرده‌اند. ولی بخشی از جامعه پزشکان متخصص معتقدند که نتایج آزمایش‌های بالینی این دارو ناکافی است و قبل از تجویز باید تحقیقات بیشتری انجام شود.

این دارو در مورد گروهی از مبتلایان به مراحل اولیه آلزایمر که وجود پلاکت‌های «آمیلوید بتا» در مغز آنها تشخیص داده شده بود آزمایش شده‌است. برخی از افرادی که این دارو را مصرف کرده‌اند دچار ورم مغز شدند که می‌تواند بسیار خطرناک باشد.

شرکت داروسازی «بایوژن» تخمین می‌زند که حدود ۱.۵ میلیون از بیماران مبتلا به آلزایمر در آمریکا می‌توانند از این دارو استفاده کنند.

نکته دیگری که در این زمینه مطرح شده هزینه سنگین تجویز دارو در چنین ابعاد وسیعی برای خدمات درمانی آمریکاست.

شرکت «بایوژن» در مارس ۲۰۱۹ روند تولید این دارو را متوقف کرد ولی در اکتبر همان سال اعلام کرد که تولید را از سر خواهد گرفت چون جدیدترین نتایج آزمایش‌های بالینی نشان داده که این دارو با دوز قوی‌تر و در دوره‌ای طولانی‌تر می‌تواند روی مبتلایان به مراحل اولیه آلزایمر مؤثر باشد.

کارشناسان بازار مالی آمریکا پیش‌بینی می‌کند که تأیید این دارو از سوی اداره کنترل کیفیت دارو در آمریکا می‌تواند باعث شود شرکت‌های داروسازی بزرگ که تحقیق روی داروی آلزایمر را رها کرده بودند به این عرضه بازگردند.

یکی از کارشناسان گفت: «تخمین می‌زنیم که این دارو به‌طور بالقوه می‌تواند حدود ۱۰ میلیارد دلار فروش داشته باشد و عرضه موفق آن به بازار می‌تواند میزان درآمد و سود شرکت بایوژن را کاملاً متحول کند.»

XS
SM
MD
LG