لینک‌های قابلیت دسترسی

خبر فوری
چهارشنبه ۱۲ آذر ۱۴۰۴ تهران ۱۲:۰۹

خبرگزاری فارس اصالت تصاویر مغزی مهسا امینی را تأیید کرد


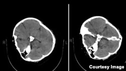
خبرگزاری حکومتی فارس شامگاه دوشنبه، ۲۸ شهریور، اصالت تصاویر سی‌تی‌اسکن مغزی مهسا امینی را که یک رسانه خارج از ایران منتشر کرده بود تأیید کرد، اما مدعی شد که «هیچ شواهدی از ضربه به سر و خون‌ریزی در این تصاویر به چشم نمی‌خورد».

پیش از آن وب‌سایت ایران اینترنشنال با انتشار تصاویر سی‌تی‌اسکن مهسا امینی، که «از سوی یک گروه هکری در اختیار این رسانه قرار گرفته»، نوشته بود این تصاویر «نشانگر شکستگی جمجمه در سمت راست سر او در اثر عوارض ناشی از ضربه مستقیم به جمجمه است».

اما خبرگزاری فارس علی‌رغم اذعان به اصالت این تصاویر مدعی شد که این رسانه آن‌ها را «از زاویه‌ای منتشر کرده که شکستگی به نظر برسد».

این خبرگزاری نزدیک به سپاه پاسداران همچنین به‌ نقل از یک «پزشک متخصص» که نامش را اعلام نکرده، ادعا کرد تصاویر نشان می‌دهد که مهسا «در گذشته جراحی تومور در ناحیه سر انجام داده است».

از نخستین ساعات جان‌ باختن مهسا امینی مقامات جمهوری اسلامی و رسانه‌های رسمی دلیل مرگ او را وضعیت جسمی خودش اعلام کرده‌‌اند. وزیر کشور نیز پیشتر ادعا کرده بود «در سن ۵ سالگی روی مغز مهسا امینی عمل انجام شده است».

این در حالی است که امجد امینی، پدر مهسا، این ادعاها را رسما «دروغ» خوانده است. آقای امینی روز سه‌شنبه، ۲۹ شهريور، در گفت‌وگو با رویداد ۲۴ گفت: «بنده صراحتا همه اظهارات سردار رحیمی فرمانده نیروی انتظامی را تکذیب می‌کنم.»

رئیس شورای هماهنگی نظام پزشکی استان هرمزگان نیز در نامه‌‌ای که رسانه‌ای شد، مرگ مهسا امینی بر اثر سکته قلبی را رد کرده و ضربه به سر را عامل احتمالی این رخداد دانسته است.

جان‌ باختن مهسا امینی پس از بازداشت به‌ خاطر حجاب اجباری موجب بروز اعتراضات گسترده‌ای در بیشتر شهرهای استان کردستان، رشت، پایتخت و برخی شهرهای دیگر شده و در برخی شهرها به‌ تیراندازی مأموران امنیتی به معترضان هم منجر شده است.

XS
SM
MD
LG